<ナムラミシェル戦歴>(共有解散まで)
通算16戦7勝(7.3.1.0.0.5), 共有後 12戦6勝(6.3.1.0.0.2)。詳細はココ
<誕生(牝)>
・2020/04/10 北海道浦河 桑田 正己 牧場 産
父マクフィ 母ナムラケイオス 母父ケイムホーム(5代血統表はココ)
<経緯>
栗東 大橋勇樹厩舎(4戦1勝)→ 代表馬主 YGGオーナーズクラブ殿
楽天オークションにて購入 → 2023/8月より5%共有

<入厩>
・2023/07/27 滋賀県ムロタホーストレーニング を経て、笠松 後藤佑耶厩舎に入厩
・
<笠松移籍初戦(通算5戦目)>
・2023/09/14 笠松2R 3歳5組 1400m 1枠1番 加藤聡騎手 結果2着/10頭
:体調や脚元不安で2度回避しようやく迎えた笠松初戦。懸念のゲート難が出て後方スタートも内目から徐々に進出し、勝ち馬には離されたものの3着馬には6馬身差をつける2着





・2023/09/24 後藤佑厩舎(訪問)



<笠松移籍2戦目(通算6戦目)>(生観戦)
・2023/09/27 笠松2R 3歳6組 1400m 4枠4番 渡邊竜騎手 結果1着/7頭
:脚元不安もなんとか解消し、笠松移籍2戦目。課題のスタートも五分に出て2番手。4角で前を捕らえ後続を封じて嬉しい移籍後初勝利!





<笠松移籍3戦目>(生観戦)
・2023/10/13 笠松1R C8組 1400m 4枠4番 渡邊竜騎手 結果1着/8頭
: 圧倒的1人気の中、スタート決め逃げて5馬身差圧勝!





<笠松移籍4戦目>(生観戦)
・2023/11/10 笠松12R アルチスタ特別(C1) 1400m 7枠7番 加藤聡騎手 結果3着/10頭
: 雨馬場や枠順も影響したか、追い込み届かず3着惜敗!


<笠松移籍5戦目>
・2023/11/24 笠松7R B11・C3組 1400m 3枠3番 加藤聡騎手 結果1着/9頭
: 出遅れかつ大逃げの馬が居てヒヤヒヤするも、最後の最後に差し切り移籍後3勝目!





・
<放牧>
・2024/01/13 大目標の'23/12/27のレースを脚部腫れで回避。次開催で約1ヶ月半振りのレースを2着した後、後藤佑師より「レース後明らかなハコウはしていないが少し抑える感じがあり、球節もモヤっとしている」とのことから、滋賀マニフィックホースに放牧
<帰厩>
・2024/04/22
<笠松移籍7戦目(復帰戦)>
・2024/05/11 笠松5R 漁火賞(C2) 1400m 5枠5番 渡邊竜騎手 結果1着/8頭 : 長期休養明けもなんのその、ゲートやスタート悪さみせるも格の違いを見せつける5馬身差圧勝!





<笠松移籍8戦目>
・2024/06/04 笠松8R 杏子特別(B2) 1400m 5枠5番 渡邊竜騎手 結果1着/8頭 : 前走休み明け勝利から中3週明け万全の態勢で強敵相手に快勝!

<笠松移籍9戦目>(生観戦)
・2024/06/18 笠松10R サマーアタック(B・C級OP) 1400m 2枠2番 渡邊竜騎手 結果1着/7頭 : B級では破格の1着110万円のレースも先行策から4角は内を掬い快勝!これで休養明け3連勝!








<笠松移籍10戦目>(生観戦)
・2024/08/01 笠松11R 第2回撫子争覇(SP3) 1400m 7枠9番 塚本征騎手 結果8着/11頭 : 前走勝利から2回出走飛ばして万全の状態で初重賞に臨むも、壁はやはり厚く8着に敗れる








・
<笠松移籍12戦目(結果的に共有最後のレース)>
・2024/09/27 笠松9R ローレル特別(A3) 1400m 1枠1番 加藤聡騎手 結果7着/8頭 : 前走2着から中3週で出走し、メンバー的にも距離的にも勝ち負け期待も、向正面から失速し7着大敗






<転厩>
・2024/10/01 : これまでの戦歴を踏まえ、船橋 新井厩舎に転厩

<共有解散>
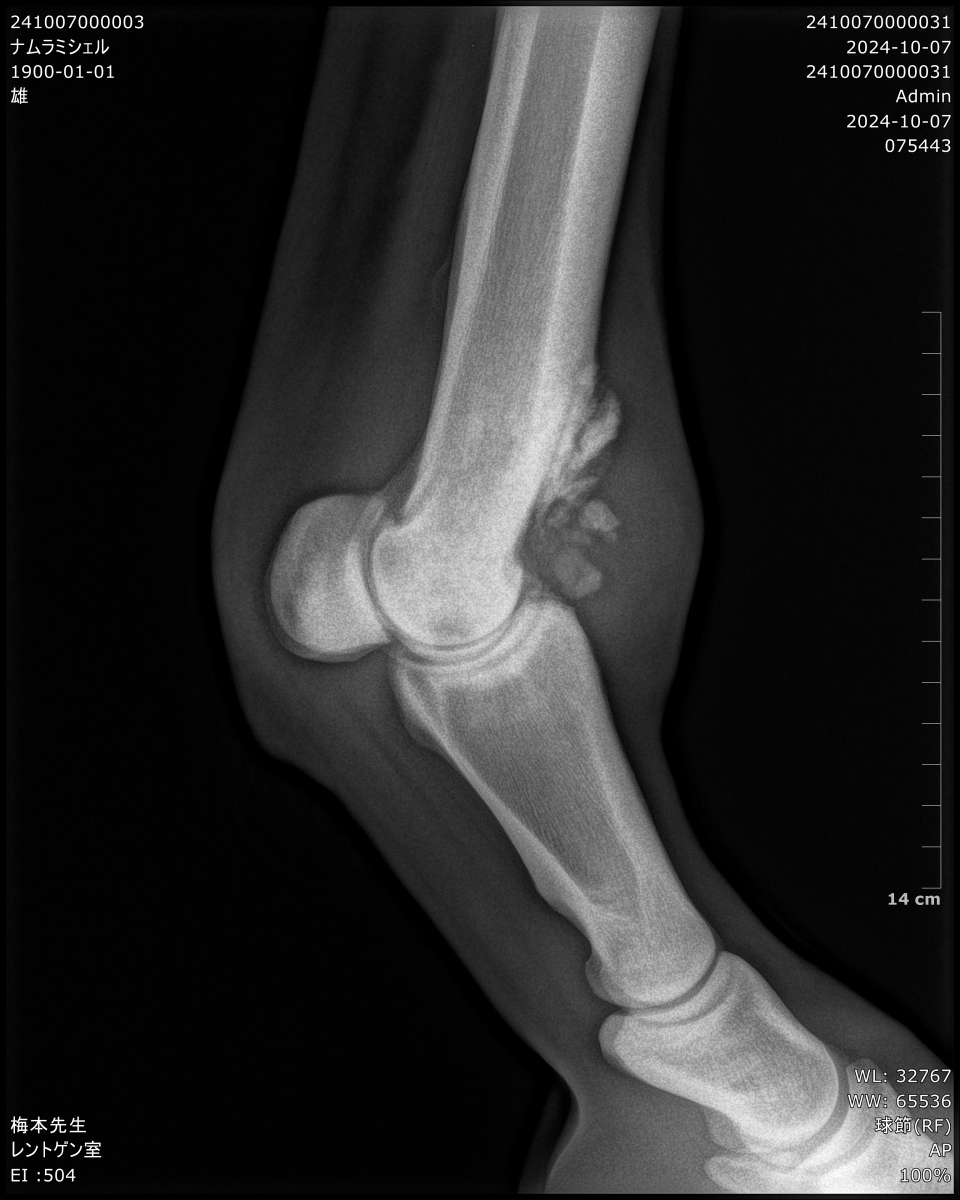
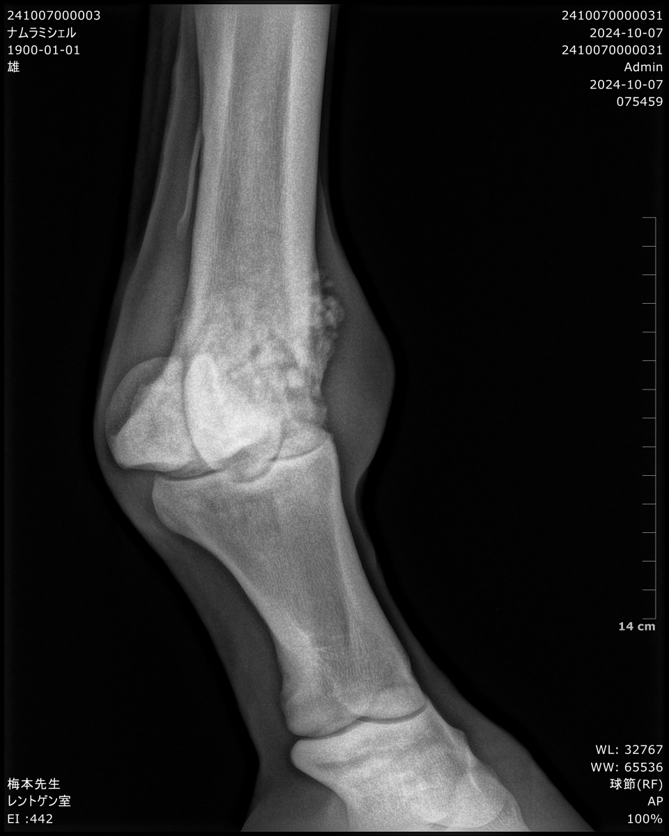
・2024/10/07 入厩前の放牧先である茨城・ケイワンステーブルにて歩様が乱れたためレントゲン検査を行ったところ、以前より腫れを指摘されていた右前の球節部分に骨膜が出ていることが確認。骨膜が大きく出ており、治療を行ったとしても復帰までには相応の時間がかかることから、10/10のサラオクに出品することで共有馬主間で合意。
・2024/10/10 サラオク出品結果落札されたことから、YGG地方オーナーズクラブでの共有を解散し次の所有者のもとへ。


約1年半と案外短かったですが、この間6勝かつ3度も口取りをさせていただきありがとうございました! ゆっくり怪我を直して次のステージでも頑張ってください!